Ästhetik
Ästhetik ist etwas sehr Individuelles, Persönliches. Ihre Wünsche und Vorstellungen werden wir im persönlichen Gespräch erfragen und in Zusammenarbeit mit dem Meister der Zahntechnik in Ihre individuelle Planung einbringen und später realisieren.
Wir möchten Ihren ästhetischen Ansprüchen gerecht werden, indem wir Ihnen ein natürliches, harmonisches Lächeln geben. Jedes kleine Detail der Zahnform, der Zahnstellung, der Zahnoberfläche und der Zahnfarbe steht in der ästhetischen Zahnheilkunde im Mittelpunkt.
Durch konsequente Weiterentwicklung zahnmedizinischer Materialien in den letzten Jahren stehen uns heute viele Möglichkeiten zur Verfügung, um dem Ideal des natürlichen Zahnes ganz nahe zu kommen.
Noninvasiv ist zum Beispiel das Aufhellen intakter Zähne durch „Bleaching“ (Bleichen). Soll gleichzeitig die Zahnform verändert oder korrigiert werden, können Composite oder Keramische Verblendschalen (Veneers) auf die Frontzähne aufgebracht werden. Dieses Verfahren schont die Zahnhartsubstanz weitgehend. Ist ein vollständiger Aufbau des Zahnes erforderlich, können vollkeramische Kronen eingegliedert werden, mit denen hervorragende ästhetische Ergebnisse erreichbar sind.
Behandlungsmöglichkeiten
Nachfolgend finden Sie Informationen zu den Bereichen der Ästhetischen Zahnheilkunde
Bleaching
Sind Ihre Zähne im Laufe der Zeit gelblicher und dunkler geworden, so können diese mit Hilfe eines Bleichgels aufgehellt werden.
Bleaching vitaler Zähne
![]() |
![]() |
![]() |
![]() |
Bleaching devitaler Zähne
![]() |
![]() |
![]() |
![]() |
Veneers
Mit Hilfe von Veneers können eine Vielzahl von Korrekturen durchgeführt werden. Dabei können stark verfärbte oder mit großen Füllungen versehene Zähne ästhetisch ebenso optimal korrigiert werden, wie lückig stehende Zähne.

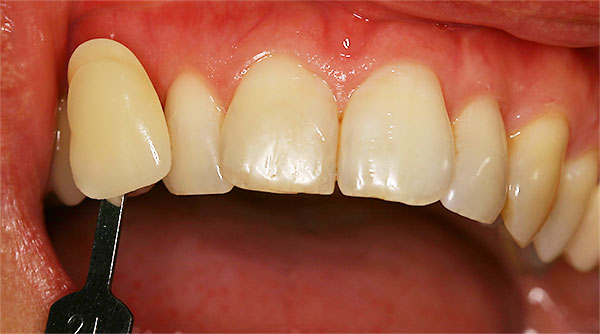
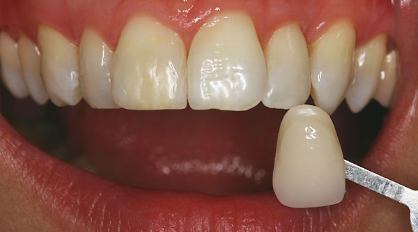
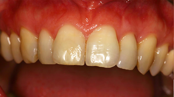
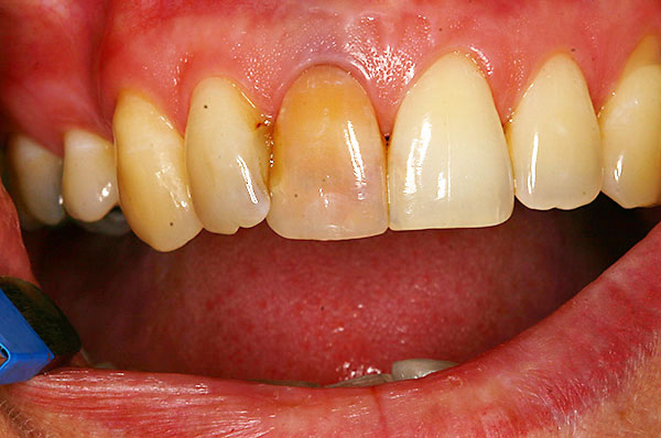
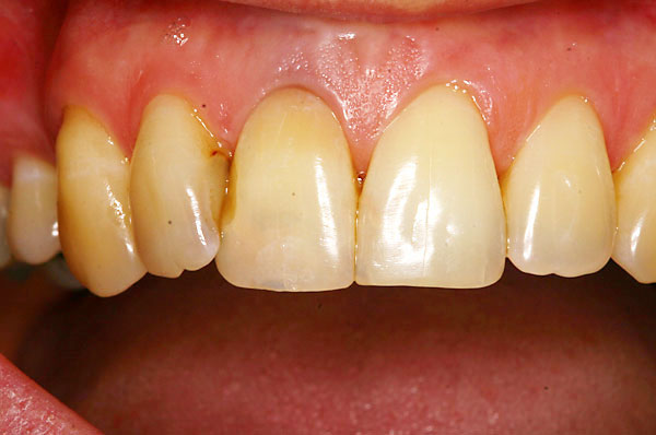
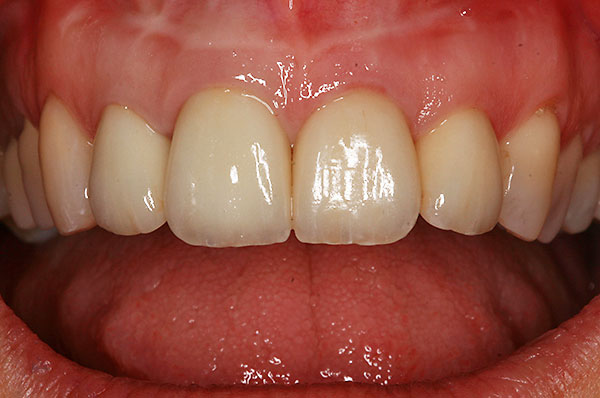
Vollkeramikkronen
Sollte keine ausreichende Zahnhartsubstanz mehr für die Versorgung mit Veneers vorhanden sein, können Vollkeramik-Kronen indiziert sein.
Fall 1
![]() |
|
![]() |
![]() |
Fall 2
|
Ausgangssituation |
Schlussbild |
Fall 3 - Abrasionsgebiß und Neuversorgung
![]() |
![]() |
![]() |
![]() |
Fall 4 - Wiederherstellung hochgradig abradierter Unterkieferfrontzähne
|
Ausgangssituation |
Präparation Pfeilerzähne |
|
Schlußbild |






















