Implantatprothetik
Mit den Methoden der modernen Implantatprothetik lassen sich ästhetisch und funktionell hochwertigste Versorgungen erzielen:
Informationen und Fallstudien für Zahnärzte
Für das zahnärztliche Fachpublikum stellen wir zusätzliche zahnmedizinische Informationen und Fallbeispiele aus unserer Zahnarztpraxis bereit. Die von uns angebotenen Fachinformationen finden Sie > hier.
Festsitzende Brücke auf Implantaten verankert
Mit den großen Fortschritten im Bereich der zahnärztlichen Implantologie wird der Traum nach festen Zähnen in vielen Fällen möglich mit dem Konzept "All on four/six".
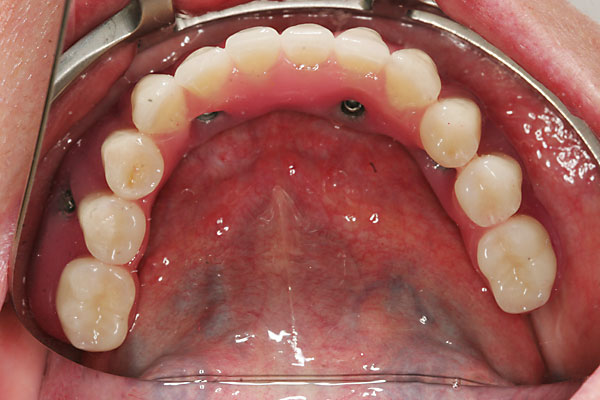
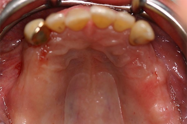
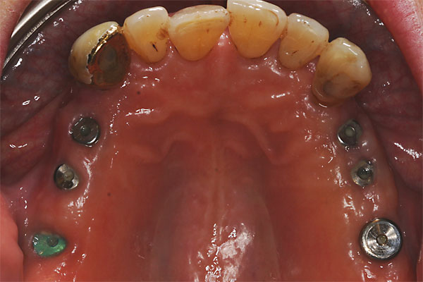
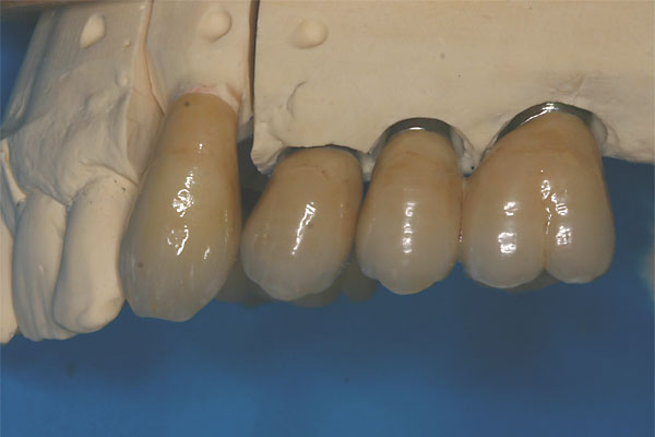
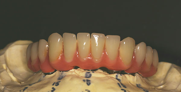
Fall: festsitzender Zahnersatz im Oberkiefer auf 8 Implantaten
|
FOTO Ausgangsröntgenbild |
FOTO Totale Prothese im Oberkiefer – Anfangsbefund |
|
FOTO Abdruckpfosten im Mund zur Übertragung auf das Meistermodell |
FOTO Meistermodell mit Laborimplantaten zur Herstellung der Brücken |
|
Metallkeramische, festsitzende Brücke |
FOTO Brücke Seitansicht |
|
FOTO vier kleine Brückensegmente ergeben die Oberkieferversorgung |
FOTO Lippenbild der fertigen Arbeit |
|
FOTO festsitzende Brücken im Mund |
FOTO Abschlußröntgenbild der Versorgung |
>>> das nachfolgende Bild kann entfernt werden, sobald oben die FOTOs eingesetzt sind


Fall: festsitzender Zahnersatz im Ober- und Unterkiefer
![]() |
|
|
|
![]() |
|
|
|
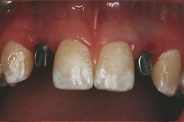
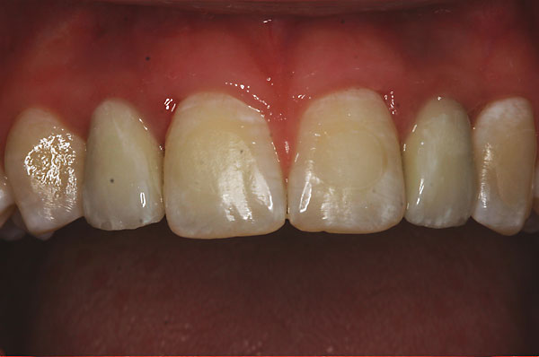
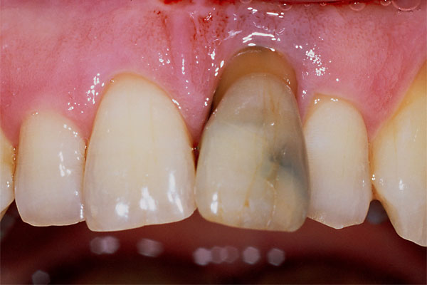
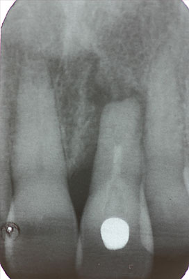
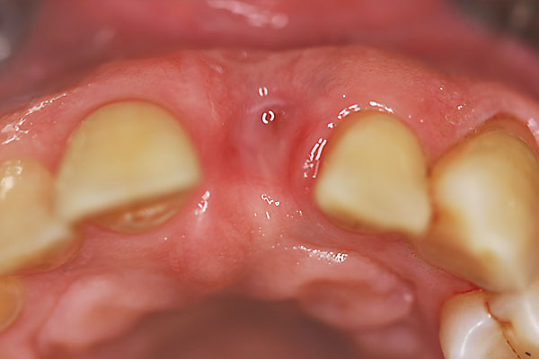
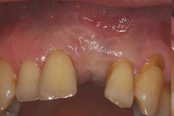
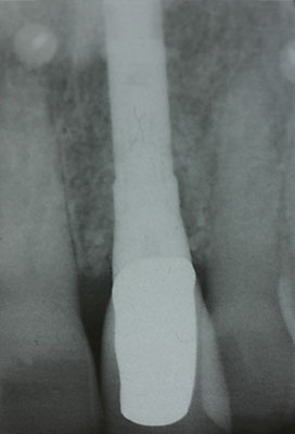
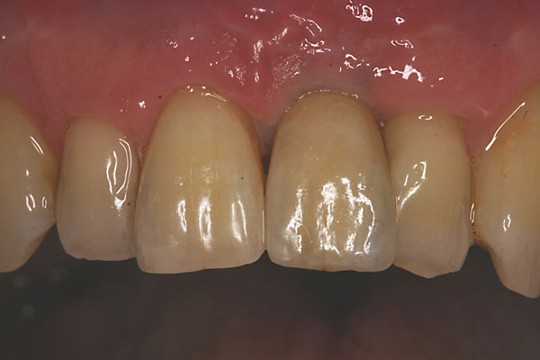
Fall: Einzelzahnlücke nach Zahnextraktion
![]() |
![]() |
![]() |
![]() |
![]() |
![]() |
![]() |
![]() |
![]() |
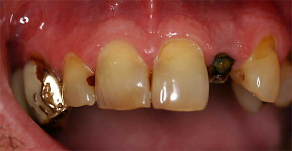
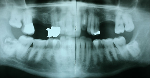
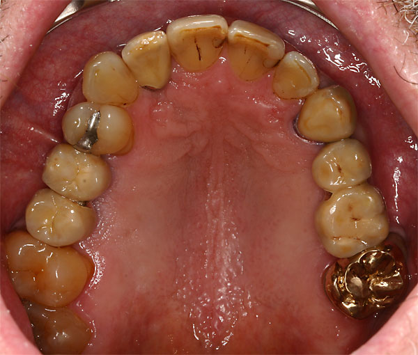
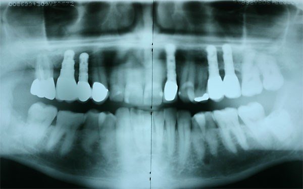
Fall: Von der Prothese zur fixen Krone
|
1 |
2 |
3 |
|
4 |
5 |
6 |
|
7 |
8 |
9 |
|
10 |
11 |
12 |
|
14 |
13 |
16 |
Geteilte Stegarbeit im Oberkiefer, fixe Brücke im Unterkiefer
Oberkiefer, geteilte Stegarbeit
![]() |
![]() |
|
|
|
Unterkiefer, fixe Brücke
![]() |
![]() |
|
|
|
![]() |
![]() |
Zahnloser Unterkiefer mit Locatorversorgung
![]() |
Zahnloser Unterkiefer mit Stegversorgung
![]() |
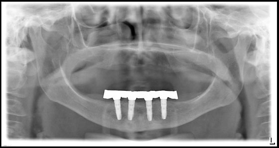
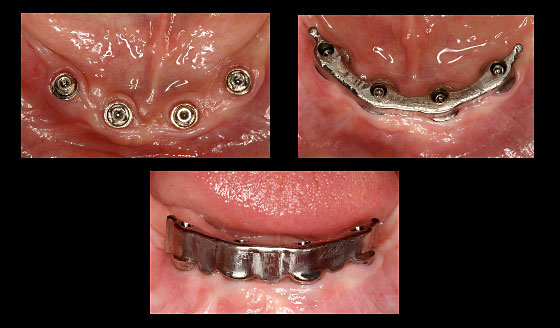
Fall: Implantatgetragene Stegarbeit bei zahnlosem Unterkiefer

Implantate Unterkiefer und vorbereiteter Abdrucklöffel

Abdrucknahme mit Positionskappen Implantate

Schematische Darstellung der Implantat- und Stegelemente

Anprobe des Stegs

OPG Steganprobe

Steganprobe

Ausgearbeiteter Steg und Anpassung der Unterkieferprothese

Eingegliederter Steg

Verlauf der Implantateinheilung bis Eingliederung Steg

Schlussbild - Implantatgetragene Unterkieferprothese
Zahnloser Unterkiefer mit Brückenversorgung
![]() |








































































