Zahnerhaltung
Unser wichtigstes Anliegen ist es, Erkrankungen wie Karies oder Erosionen frühzeitig zu diagnostizieren, um sie mit Prävention zum Stillstand zu bringen oder mit minimalinvasiven Massnahmen zu behandeln.
Die Füllungen sind heute zahnfarben und nicht mehr zu erkennen. Mit Komposit (Kunststoff), Keramik und Keramikschalen werden einwandfreie ästhetische Ergebnisse erzielt. CAD-CAM-Techniken (Cerec) machen die Verwendung von besonders robuster Keramik möglich.
Nachfolgend finden Sie Informationen zu den Themen:
Konservierende Versorgung (Minimalinvasive Fülltherapie)
Grundlage für die Füllungstherapie ist eine gründliche Diagnostik – bei uns immer mit Lupenbrille und hellem LED-Licht.
Während Vorstufen einer Karies noch ohne invasive Eingriffe mittels Fluoridierungsverfahren behandelt werden können, werden kleinere kariöse Stellen vorzugsweise mit minimalinvasiven Präparationstechniken besonders substanzschonend versorgt. Dabei ist nicht allein die klein ausfallende Füllung, sondern die streng defektbezogene Kariesentfernung von Bedeutung.
Kunststoffrestaurationen
Zahnärztliche Kunststofffüllmaterialien eignen sich hervorragend für die substanzschonende Versorgung kleiner bis mittelgroßer Defekte am Zahn. Hinsichtlich Härte, Abriebfestigkeit und Stabilität gegenüber Flüssigkeiten (z.B. Speichel) haben sie bessere mechanische Eigenschaften wie Amalgamfüllungen. Bei ausgedehnten Defekten jedoch stoßen die Kunststofffüllungen an die Grenzen ihrer Dichtigkeit und Stabilität. In solchen Fällen ist, je nach Größe der Defekte, Einlagefüllungen wie Keramikinlays, Goldinlays oder Kronen bzw. Teilkronen den Vorrang zu geben.
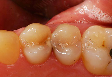
Compositerestauration
![]() |
![]() |
![]() |
![]() |
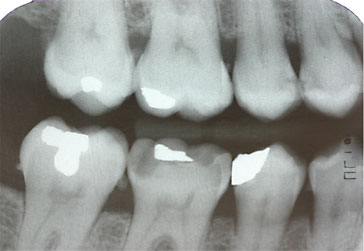
Zahnzwischenraumkaries
![]() |
![]() |
![]() |
![]() |
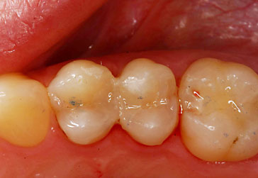
Composite
Zahnverbreiterung durch Composite
![]() |
![]() |
![]() |
Goldgussfüllungen
Kariöse Defekte werden
schon seit über 100 Jahren mit Goldgussfüllungen (Goldinlays) restauriert. Diese Technik hat inzwischen einen so hohen Präzisionsgrad erreicht, dass hervorragende Langzeitresultate erzielt werden können. Auch haben diese Restaurationen eine hohe Biokompatibilität.
Inlays und Teilkronen aus Goldlegierungen eignen sich vornehmlich für Restaurationen im Seitenzahnbereich. Im Vergleich zu Keramikrestaurationen haben sie eine geringere Härte und somit eine geringere Bruch- und Schädigungsgefahr. Andererseits sind sie nicht zahnfarben, wodurch ihr Einsatzgebiet aus ästhetischen Gründen limitiert sein kann.
Keramikinlays
Als Alternative zu Goldgussfüllungen erfüllen Keramikinlays die höchsten ästhetischen Ansprüche. Keramikinlays werden mit dem Zahn adhäsiv verklebt, sodass auch bei Vorliegen von schwachen Zahnwänden eine Stabilisierung des Zahns erreicht werden kann.

Heute erreichen Keramikinlays Haltbarkeiten, die mit denen von Goldinlays vergleichbar sind. Allerdings sind keramische Restaurationen härter, womit die Gefahr von Keramikbrüchen nicht auszuschließen ist.












