Endodontie
Wurzelbehandlung zur Zahnrettung
Das Ziel der endodontischen Behandlung ist immer die Erhaltung des eigenen Zahnes!
Durch eine tief gehende Karies können Bakterien bis in den Zahnnerv gelangen und eine Entzündung auslösen, diese Bakterien gelangen noch weiter über die Wurzelkanäle und können bis in den Kieferknochen eindringen und an den Wurzelspitzen dann Entzündungen hervorrufen.
Abgestorbenes und meist stark entzündetes Gewebe müssen dann aus dem Zahninneren entfernt werden.
Der Wurzelkanal ähnelt einem Gefäßsystem mit immer kleiner werden Abzweigungen, nur mit einem Operationsmikroskop kann man diese feinen Verästelungen erkennen und vollständig behandeln. Die komplette Reinigung dieser kleinen und kleinsten Strukturen muss mit größter Sorgfalt und Gründlichkeit erfolgen. Wir arbeiten dehalb grundsätzlich mit Cofferdam, Lupenbrille und Mikroskop.
Die moderne Endodontie mit dem Operationsmikroskop, mit feinen und grazilen Instrumenten und den Kenntnissen der komplexen Anatomie des Wurzelkanalsystems, verspricht eine Erfolgsquote von bis zu 90 % und die gute Chance, Ihre Zähne zu erhalten.
Ablauf einer Wurzelkanalbehandlung
- Betäubung, Isolierung und Kariesentfernung
Falls nötig wird Ihr Zahn betäubt. Dann wird der Zahn durch ein Gummituch (Kofferdam) zur Mundhöhle isoliert, um ihn während der Behandlung frei von Speichel und Bakterien zu halten.
Zunächst wird eine eventuell vorhandene Karies entfernt, dazu müssen häufig auch Kronen oder Brücken entfernt werden.
Zugang
Durch einen Zugang können die Eingänge der einzelnen Kanalsysteme werden dargestellt.
Um alle vorhandenen Wurzelkanäle zu finden sind Vergrößerungssysteme (Lupenbrille, Operations-Mikroskop) sehr hilfreich.
Das Operations-Mikroskops ermöglicht bei optimaler Ausleuchtung des Zahnes das Arbeiten unter bis zu 24facher (!) Vergrößerung.- Aufbereitung und Reinigung
Die Wurzelkanäle müssen nun auf voller Länge mit feinen Instrumenten und desinfizierenden Spülungen gereinigt werden.
Die Reinigung des Wurzelkanalsystems ist schwierig und zeitaufwendig, da schmale Gänge, Verzweigungen und Querverbindungen in der Tiefe der Zahnwurzel liegen.
Manchmal wird nun eine medikamentöse Zwischeneinlage notwendig. - Füllung
Die gereinigten Wurzelkanäle werden vollständig und dicht in der Regel mit einem biokompatiblen Naturmaterial (Guttapercha) verschlossen. Hierdurch wird verhindert, dass Bakterien die Wurzelkanäle wieder besiedeln können.
Abschließend wird der Zugang durch die Zahnkrone mit einer dichten Füllung verschlossen. - Abschlussversorgung
Aufgrund einer erhöhten Frakturanfälligkeit wurzelkanalbehandelter Zähne müssen diese in Abhängigkeit vom Zerstörungsgrad anschließend häufig mit einer Teilkrone oder Krone versorgt werden.
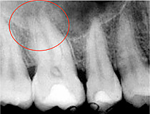
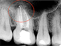
Beispiel für eine Wurzelkanalbehandlung
Oberkiefermolar mit chronischer Entzündung an der Wurzelspitze und Ausheilung nach einem Jahr



Zweitbehandlung (Revision)
Sollten nach einer bereits durchgeführten Wurzelbehandlung noch Keime im Zahn zurück bleiben, z. B. durch nicht aufbereitete Wurzelkanäle oder nicht vollständig gereinigte Wurzelkanäle, dann können diese später eine chronische, aber auch eine akute Entzündung an der Wurzelspitze auslösen.
In diesem Fall sollte eine erneute Behandlung (Revision) durchgeführt werden. Der Ablauf entspricht dem oben beschriebenen, zusätzlich wird die bestehende Wurzelfüllung entfernt und die Aufbereitung und Reinigung der Wurzelkanäle wiederholt.
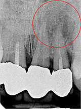
Oberkieferschneidezähne mit z. T. unvollständiger Wurzelfüllung und chronischer Entzündung an den Wurzelspitzen und Ausheilung nach 11 Monaten


