Funktionsdiagnostik- und -therapie
Ästhetik und Funktion = Harmonie, die Freude bringt
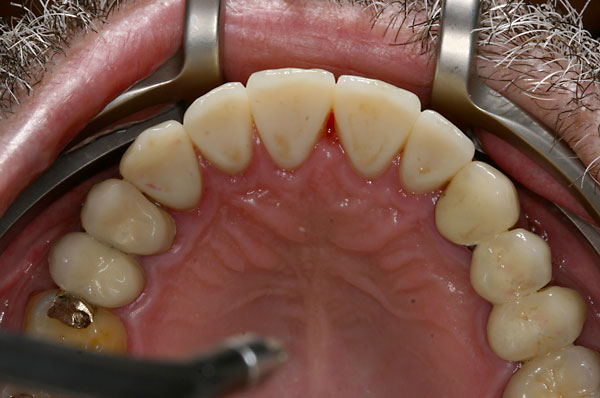
Unser oberstes Ziel ist die Wiederherstellung der Kaufunktion mit bestmöglichem ästhetischem Resultat!
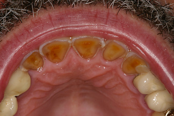
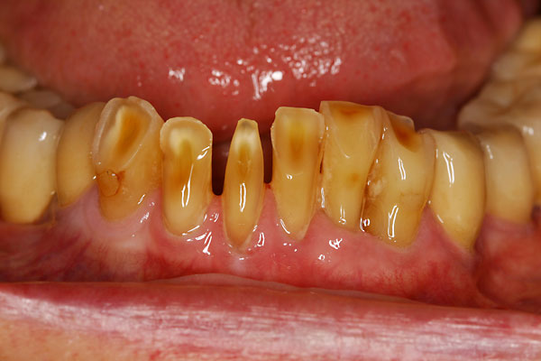
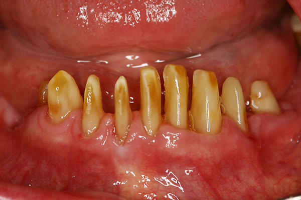
Die Analyse des Kauorgans (Zähne, Zahnhalteapparat, Kiefergelenke sowie den Kaumuskeln und Nerven) ist die Voraussetzung, um eventuelle Abweichungen zu erkennen und beheben zu können.
Wir behandeln Patienten, die u.a. unter folgenden Symptomen leiden:
- Muskelverspannungen
- nächtlichem Zähneknirschen – und pressen
- Schmerzen im Kopf-/Halsbereich
- Beschwerden im Kiefergelenk
Lesen Sie hierzu auch die gemeinsame Stellungnahme der DGZMK (Deutsche Gesellschaft für Zahn-, Mund- und Kieferheilkunde) und der Deutschen Gesellschaft für Funktionsdiagnostik und -therapie (FDT) in der DGZMK
http://www.dgfdt.de/fileadmin/docs/05_Stellungnahme_Klinische_Funktionsanalyse.pdf
Darüber hinaus bieten wir eine genaue Funktionsanalyse an, um im Rahmen restaurativer Behandlungen (z.B. bei Zahnersatz) eine patientengetreue Übertragung der Bißsituation in einen Kausimulator (Artikulator) einzustellen, sodass geplante restaurative Versorgungen, z. B. Kronen oder Brücken, keine Störungen im Kauorgan verursachen.
Direktlinks zu den Themen:
Zahnärztliche klinische Funktionsanalyse
Die Funktionsanalyse hat das Ziel, auf der Basis der Krankengeschichte und einer besonders ausführlichen Untersuchung, den funktionellen Zustand und das Zusammenwirken von Zähnen, Muskulatur und Kiefergelenken zu erkennen.
Als Ergebnis der klinischen Funktionsanalyse wird der Zahnarzt eine erste „Initialdiagnose" stellen. Um das solchermaßen festgelegte Ergebnis zu überprüfen bzw. zu bestätigen, sind gegebenenfalls weitere ergänzende Untersuchungen erforderlich. Hierzu geeignet sind einerseits die zahnärztliche Funktionsanalyse (z.B. das Einstellen Ihrer Zahnmodelle in einen Kausimulator), sowie konsiliarische Untersuchungen anderer Fachärzte oder Osteopathen.







