Prothetik
Nachfolgend finden Sie einige Beispiele aus unserer Praxis zu den prothetischen Versorgungen:
Oberkiefer Frontzahnkronen
Fall 1 |
|
|
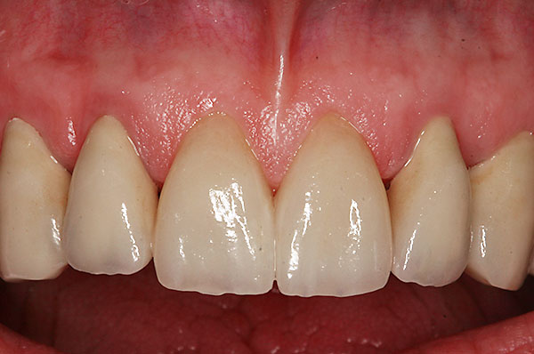
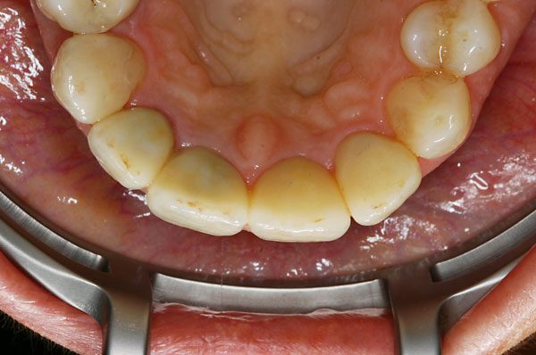
Ausgangssituation |
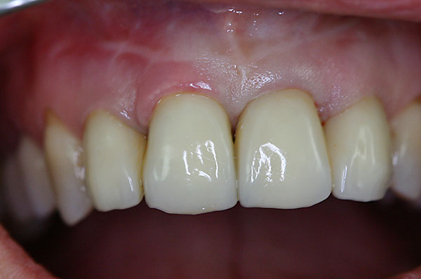
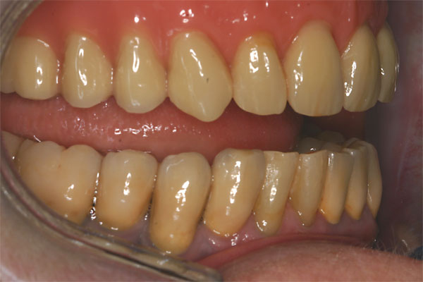
Schlussbild |
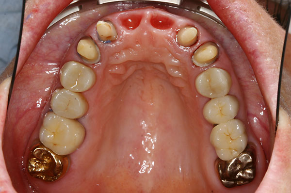
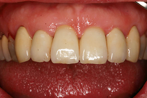
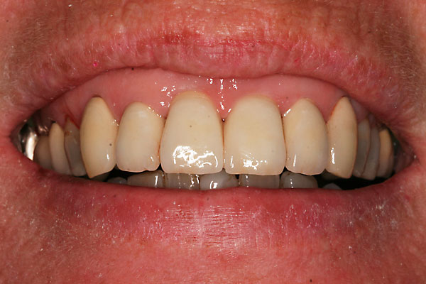
Fall 2 |
|
|
Ausgangssituation |
Interimskronen |
|
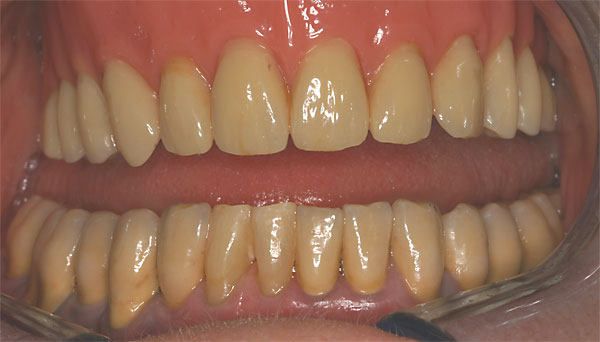
Schlussbild Frontbild |
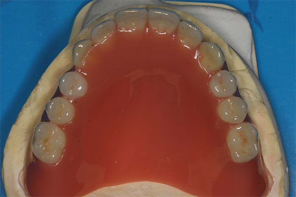
Schlussbild Gaumenseite |
Fall 3 - Abrasionen

Oberkiefer Frontzahnbrücke
![]() |
![]() |
|
|
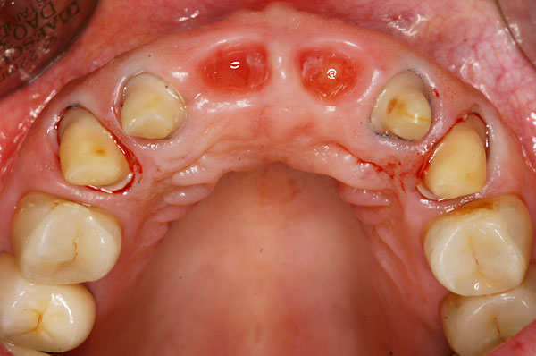
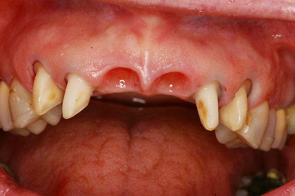
Ausgangssituation |
|
|
|
|
|
Extraktion und Pfeilerpräparation |
|
|
Endsituation nach Versorgung |
Fall 2
![]() |
![]() |
![]() |
![]() |
![]() |
![]() |
![]() |
![]() |
|
![]() |
![]() |
![]() |


























